鋳物の基礎知識
鋳物とは、製品と同じ形状の空隙を有する鋳型に溶けた金属を流し込む製法で作られたもので、様々な用途に使用できるバリエーション豊かな材料です。鋳物素材には鉄合金、アルミニウム合金など種々ありますが、当社では、その中でも「鋳鉄」を主に活用しています。

鋳鉄とは
鋳鉄とは、鉄基地中に微細な黒鉛、あるいは炭化物が分散した複合材料であり、黒鉛や炭化物の形状および鉄基地の組織と合金組成を制御することにより、多様な材料特性を発揮することができます。鋳鉄の特性は、鉄基地中の黒鉛の形状、大きさ、分布などが関係しています。
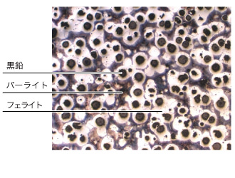
黒鉛の晶出状態

また、鋳鉄の冷却速度が大きい場合、白鋳鉄と呼ばれる組織が生じます。これは炭素が黒鉛として晶出せず、炭化物として晶出するためです(チル化、白銑化)。
白鋳鉄は硬く、耐摩耗性に優れるため、摩耗により耐久性が要求される部材に適応されます。
白鋳鉄の晶出状態

鋳鉄と鋳鋼の違い
鋳鉄と鋳鋼は、含まれる炭素の量によって分類され、鋳鋼より多くの炭素を含んでいるのが鋳鉄になります。(一般的には、鋳鉄が2.1~6.67%、鋳鋼が0.02~2.1%とされています。)
鋳鉄は、鋳鋼より炭素を多く含むため、以下のメリットとデメリットがあります。
鋳鉄のメリット
・炭素を加えることで融点が下がるため、低い温度での溶解・鋳造作業が可能となり、複雑形状品を一体で製造することができ、耐火材等のランニングコストも抑えることができます。
・鋳鋼も含めて大部分の金属は凝固の際に収縮するが、鋳鉄では黒鉛の晶出により膨張するため、引け巣など内部欠陥の発生を抑制することができます。
・黒鉛や炭化物の分布を制御することにより、多様な材質を実現できます。
鋳鉄のデメリット
・鋳鋼に匹敵する強度や延性を発揮できるが、特に片状黒鉛鋳鉄や白鋳鉄は靭性に劣ります。球状黒鉛鋳鉄も一般の構造用鋼に比べると常温では耐衝撃性は鋳鋼に劣るものの、低温になると鋳鋼よりも優れた耐衝撃性を示します。
鋳鉄の特性コントロール
鋳鉄の特性は、合金元素や熱処理によりオーステナイト、ベイナイト、焼戻しマルテンサイト等に制御できます。一般には鋳物の冷却速度に応じて化学成分を調整し、特殊元素による溶湯処理を施して鋳造のままで黒鉛と素地組織をコントロールできます。
ここでは構造部材に用いられている黒鉛系の鋳鉄について説明します。
強度特性の構成要素

球状黒鉛鋳鉄(FCD)の組織写真

鋳鉄の成分
一般的な鋳鉄は、鉄・炭素・シリコン・マンガン・リン・硫黄で構成されています。強度特性、耐食性、耐摩耗性などを高める必要がある場合には、ニッケル・クロム・モリブデン・銅などの合金元素を添加しています。また、原材料としては鉄スクラップや戻り材(製品以外の部位)といったいわゆるリサイクル材を主に使用しています。鋳型材料も大部分が再利用されており、鋳鉄鋳物は循環性に富み、環境負荷の小さい製品です。
鋳鉄の主な原料

